دنـدانپــزشكی زیبــایی


همه به لبخند زیبای شما حسادت می ورزند چون زیبایی هر چیز به طبیعی بودن آن است بــا استفاده از روش های درمـانی جدیــد و همكاری بـا لابراتوارهای پیشرفته و علمی بـدون استفــاده از ارتدنسی
بلند كـــردن دنـــدانهای كوتــاه"
بستــن فاصلـــه بیـن دنـــدانها
اصلاح بدشكلی و بـدرنگی دندانها
طرح لبخنـــــد

آیا با ترمیم های غیرهمرنگ دندانهای خود مشكل دارید؟
ترمیم و تعویض ترمیم های قبلی و جایگزین آنها با مواد همرنگ
روكشهای (تمام سرامیك)
لامینیت (چینی و كامپوزیت)
پروتزهای متحرك (سبك و كم حجم)
بلیچینگ: روشن كردن دندانها
كاشت نگین
كامپوزیت دندانهای خلفی
اصلاح طرح لبخند
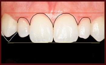
طراحی خط لبخند ، اصلاح خط لبخند ، جوانسازی لبخند ، لبخند خرگوشی یا لامینیت دندان!! حتما شما هم این کلمات را زیاد می شنوید و تبلیغات متعددی در باره آن میبینید .به هر حال این واقعیت است که لبخند زیبا و دلنشین و جذاب آرزوی هر انسانی است و علم پزشکی و دانش رو به پیشرفت بشر سعی دارد که این نیاز را به ساده ترین و ماندگارترین روش تامین کند .در صفحه جذابیت لبخند درباره مقوله زیبایی و لبخند زیبا گپ و گفت خوبی داشتیم و در این صفحه بیشتر به یک نگاه ریاضی و فیزیکی به لبخند نگاه خواهیم کرد. دندانها به لحاظ فرم، شکل، اندازه، رنگ و هماهنگی با یکدیگر و فرم صورت و لبها از قوانین و اصولی تبعیت می کنند که در صورت رعایت تمام این اصول و هماهنگی پارامترهای فوق الذکر (اکثرا) لبخندی زیبا و دلنشین نصیب فرد مینمایند. البته تمامی موارد بالا بندرت در دندانهای افراد هماهنگ با یکدیگر وجود دارند ولیکن اصلاح بسیاری از این موارد در غالب موارد امکان پذیر است . این اصلاحات را می توان از طریق ارتودنسی، لامینیت(کامپوزیت یا پرسلن)، روکش، سفید کردن دندانها ( Bleaching )، جراحی لثه و ......... ایجاد نمود.
فتو گرافی و آنالیز دندان و لثه ها
آنالیز خط لبخند
قبل از درمان از دندان ها و وضعیت موجود عکسی در داخل مطب و با زاویه مناسب سر و با دوربین های فتو گرافی دندان تهیه میگردد. بهتر است عکس مذکور توسط نرم افزار های گرافیکی مانند فتو شاپ آنالیز و موقعیت لثه ها و دندان ها بصورت جز به جز واکاوی گردد. البته صادقانه عرض کنم بنده مدت هاست که دیگر با نرم افزار این بررسی را انجام نمی دهم و به مرور زمان و افزایش تجربه کلیات طرح درمان را "حس" میکنم و ترجیح میدهم بجای کارهای کامپیوتری در جلسه ای که بصورت مشاوره برگزار میکنم با بازسازی موقت طرح درمان نمایی سه بعدی بعد از درمان را از نزدیک ببینم. البته گاها نیاز به مطالعات بیشتری میباشد که یک قالب گیری و آنالیز سه بعدی در این گونه موارد راهگشا خواهد بود.