درمان بی دندانی قدامی با ایمپلنت

درمان بی دندانی با ایمپلنت بهترین روش جایگزینی دندانهای از دست رفته می باشد. در این روش درمان، یک قطعه داخل استخوانی طی یک جراحی داخل استخوان فک در محل مناسب نصب میگردد و پس از طی مدت بازسازی استخوان در اطراف این قطعه (حدود 3 ماه) قطعه دوم روی آن نصب می گردد. در دندانهای جلویی تنها جایگزینی دندان از دست رفته مهم نیست بلکه تامین زیبایی نیز از اهمیت بالایی برخوردار است. به همین علت بهتر است در این ناحیه از روکشهای زیبایی بدون فلز استفاده شود.

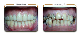
اصلاح بی دندانی کامل با ایمپلنت

زمانیکه در یک یا دو فک تمام دندانها از دست رفته باشند درمان با ایمپلنت بهترین روش جایگزینی دندانهاست. روش اول این است که در ازای دندان دست رفته یک ایمپلنت نصب شود و روی هر کدام یک روکش مناسب گذاشته شود اما این روش درمان مشکل تر و بسیار پرهزینه است. در روش دوم برای بیمار ابتدا یک دست دندان مصنوعی ساخته میشود سپس این پروتز روی تعداد مشخصی ایمپلنت های مخصوص overdenture نصب می شوند. در این روش پروتز قابل برداشتن و گذاشتن مجدد است و بهداشت راحت تر میباشد، ولی دست دندان آنقدر در جای خود محکم است که حتی فرد می تواند با آن سیب گاز بزند!

اصلاح طرح لبخند معکوس

در یک لبخند زیبا و استاندارد، قوس لبه برنده دندانهای جلویی فک بالا نسبت به لب پایین و نیز لب بالا از یک وضعیت خاصی پیروی می کنند که در صورت عدم این تناسب به هر دلیل لبخند شخص نه تنها زیبا نخواهد بود حتی میتواند برعکس چهره خشن یا غمگین از وی نمایان سازد. در درمان اصلاح طرح لبخند با روشهای متفاوت ترمیم با کامپوزیت، لمینیت، تعویض روکشهای نامرغوب قبلی با روکشهای IPS و ... موفق به خلق یک لبخند زیبا در فرد موردنظر می گردد.

اصلاح بیرون بودن بیش از حد لثه در لبخند

Gummy smile به حالتی گفته میشود که فرد وقتی می خندد و یا گاهی در بعضی افراد حتی لبخند معمولی و یا صحبت کردن، لثه بالای دندانهای جلویی فک بالا بیش از حد دیده میشود. در یک لبخند زیبا و استاندارد حداکثر 2-5 میلی متر از دندانهای جلویی فک بالا باید دیده شوند و لثه اصلا" نباید دیده شود. در این طرح درمان با یک جراحی مینیاتوری و دقیق روی لثه ها و سپس با استفاده از لمینیت و در صورت لزوم روکش های IPS ،مشکل فوق برطرف می گردد. میزان درمان این مشکل بستگی به میزان بیرون بودن لثه ها و چند فاکتور متغیر دیگر دارد.

بازسازی کامل دندانها با لمینیت و روکشهای IPS

زمانی که دندانها به شدت آسیب دیده اند و یا درمان ریشه و بازسازی تاج وسیع دارند صرفا ترمیم آنها با مواد همرنگ کامپوزیتی نمی تواند زیبایی را به آنها و نیز چهره بیمار برگرداند. در این موارد برای اصلاح بد رنگی و بدشکلی و احیانا ناردیفی و نیز برای محافظت از دندان های روت کانال تراپی شده از لمینیت و روکش های پرسلنی IPS استفاده می نماییم که به تمام دندانها ظاهر مناسب و همسان و زیبا خواهد بخشید.

اصلاح بدشکلی و بدرنگی دندانها با روکش های پرسلن

زمانی که بدشکلی، بدرنگی و یا ناردیفی دندانها به حدی است که تنها با ترمیم های کامپوزیتی قادر به حل مشکل نمی باشیم از روکش های پرسلن استفاده می کنیم. روکش های پرسلن روی دندانهایی که حداکثر فقط 2 میلیمتر تراش خورده اند و یا حتی در برخی موارد نیاز به تراش هم ندارند، چسبانده می شود و مشکلات فوق را در پشت خود پنهان کرده و زیبایی را به دندانها و چهره بیمار بر میگرداند.

سفید کردن دندانها

زمانی که فرد از رنگ دندانهای خود ناراضی است و تمایل دارد که سفیدتر از آن چه هستند دیده شوند، به شرطی که قبلا جرمگیری و پالیش روی دندانهایش انجام شده باشد می توان از این روش برای سفید کردن دندانها استفاده کرد. البته باید توجه داشت تمام دندانهایی که قرار است Bleech شوند باید سالم، فاقد ترمیم های کامپوزیتی یا آمالگام و فاقد روکش باشند زیرا این ها با مواد Bleeching سفیدتر نمی شوند. بیلیچینگ به سه روش Office و Home و لیزر می باشد که در روش اول و سوم، انجام درمان فقط در یک جلسه در مطب انجام می شود و در روش دوم که محافظه کارانه تر است این کار در چند روز در منزل انجام خواهد شد.

ترمیم دندان های شکسته

در صورتی که وسعت شکستگی بیشتر باشد ، بهترین راه درمان بخصوص در سنین پایین و اطفال، ترمیم قسمت شکسته با کامپوزیت است. در این روش نسج دندان تراش مختصری خورده و نسج سالم تا حد ممکن حفظ می شود. در این روش درمانی اغلب حتی نیازی به تزریق داروی بی حسی نیست. این درمان در یک جلسه انجام می شود و در صورتی که بیمار نکات مربوط به پرکردگی های دندان های جلو را رعایت کند، می توان بین 5 تا 8 سال عمر داشته باشد. البته همان طور که ذکر شد، تمام ترمیم های کامپوزیتی نیاز به معاینات و تمیز کردن های دوره ای دارند که باید هر 6 ماه یک بار توسط دندانپزشک انجام شود.

ردیف کردن دندانها به وسیله ارتودنسی

ارتودنسی یك رشته خاص از دندانپزشكی است كه با مرتب کردن دندانها و یا مشکلات مربوط به جفتگیری دندانها، سر و كار دارد. بسیاری از دندانپزشکان، آموزش "اصول درمانهای ارتودنسی" را فرا گرفته‌اند . متخصص ارتودنسی (ارتودنتیست) با استفاده از وسایل خاص سعی در تصحیح مشکلات فکی - دندانی دارد. این وسایل می‌توانند ثابت یا متحرک باشند. وسایل متحرک توسط فرد قابل برداشتن و گذاشتن هستند در حالی که وسایل ثابت قابل جا به جا کردن نیستند. از وسایل ارتودنسی جهت ایجاد حرکت آرام دندانی و جهت دادن به رشد و تکامل فک‌ها استفاده می‌‌شود.

تعویض پرکردگی های فلزی قدیمی با مواد کامپوزیتی سرامیکی

پرکردگی های فلزی آمالگام اگر با تکنیک صحیح و مناسب و آمالگام مرغوب Spherical انجام شده باشد می تواند یک ترمیم مناسب حساب شود. اما در پاره ای از موارد ترمیم نامناسب و نامرغوب آمالگام سبب آسیب جدی به بافت دندان باقیمانده و نیز سبب تغییر رنگ دندان و حتی لثه می شود. در این موارد پرکردگی آمالگام برداشته شده و پس از حذف پوسیدگی ها با کامپوزیت های سرامیکی که مخصوص دندانهای عقبی و با قابلیت تحمل فشار بالا ساخته شده اند، ترمیم مجدد انجام می شود. در پاره ای از موارد این تعویض پرکردگی صرفا به علت جنبه های زیبایی و طبق درخواست بیمار انجام می شود.

لمینیت

لمینیت پوسته ای نازک از جنس چینی است که سطح بیرون و لبه دندان ها را می پوشاند. لمینیت گاهی در مطب ( فقط با دو بار مراجعه ) و گاهی در داخل لابراتوار های مجهز ( در کمتر از دو ساعت) ساخته و روی دندان ها جهت زیباسازی آنها تعبیه می شود. شایان ذکر است اکثر بازیگران سینما و مدل ها با استفاده از درمان لمینیت صاحب چنین لبخند زیبا و جادویی شده اند .

بستن فاصله بین دندانی

یکی از مهمترین روش های بستن فاصله بین دندان ها ، استفاده از مواد همرنگ (باندینگ) است. این روش بدین صورت است که مواد ترمیمی همرنگ دندان به کمک چسب های مخصوص (باندینگ) به کناره دندان ها اضافه شده و فرم داده می شود تا دندان ها به صورت طبیعی در آیند. با این روش می توان دندان ها را به شکل جدید درآورد و طرح لبخند وی را تصحیح نمود. استفاده از این روش به طورمعمول نیازی به تراش دندان ندارد.