جراحی لثه :
اولین گام در درمان بیماری لثه برداشت عوامل بیماری زا و تمام رسوباتی است که روی سطح دندان قرار دارد (جرم و پلاک میکروبی). در صورتی که باکتری های بیماری زا در مجاورت لثه وجود داشته باشد ، التهاب لثه هرگز درمان نمی شود که مسئولیت برداشت این رسوبات تا حدودی بر عهده ی دندانپزشک است (با استفاده از لوازم مخصوص) و تا حدودی به عهده ی بیمار (با رعایت بهداشت دهان) است .بنابراین نخستین مرحله از درمان بیماران انجام جرمگیری است که می توان با تشخیص دندانپزشک در یک یا چند جلسه انجام شود .جرمگیری یک درمان مقدماتی است و بایستی از طریق درمانهای کامل تر به معالجه ی اساسی بیماری پرداخت ، مراحل بعدی درمان شامل انواع جراحی لثه و یا تجویز برخی داروها است. متاسفانه تصوری غلط از جرمگیری در بین مردم رایج است و عده ای تصور می کنند که جرمگیری برای زیبایی است و یا باعث خراب شدن لثه و صدمه به مینای دندان می شود در حالیکه خارج کردن جرم و پلاک از دهان به منظور کسب سلامتی بوده و سبب کاهش باکتری های دهان شده و لذا میزان پوسیدگی و بیماری لثه کاهش میابد . پس از جرمگیری و برداشتن جرم های روی دندان ممکن است این امکان بوجود آید که تحریکات سرمایی و گرمایی وارد شونده به محیط دهان در تماس با سطح قرار گرفته و باعث آزار و اذیت بیمار شوند . با برداشته شدن جرم ها ، بیمار لقی دندان هایش را احساس کرده و پوسیدگی های سطح ریشه را مشاهده می کند و لذا تمام این مشکلات را به جرمگیری نسبت می دهد ، در حالیکه تمام عامل ایجاد این مشکلات جدید جرم ها هستند نه جرمگیری . بنابراین جرمگیری یکی از اقدامات درمانی مهم در بیماران لثه می باشد. چه زمانی به جراحی لثه نیاز است؟
زمانی که جراح لثه تشخیص دهد نسوج اطراف دندانها ناسالم بوده و به واسطه ی اقدامات غیر جراحی قابل ترمیم و باز سازی نیست. اقدامات جدید درمانی با استفاده از تکنیک های کنترل شده می توانند آرامش را برای بیمار ایجاد کنند با پیشرفت های جدید دارو درمانی و بی حسی های موضعی و کنترل درد در بعضی موارد ، روش های آرامش بخش بیهوشی دهنده در اختیار درمان کننده هستند .



انواع جراحی لثه :
1)عمل جراحی افزایش طول تاج : گاهی روش های جراحی لثه برای فراهم آوردن کارهای ترمیمی و بهبود حالت لبخند لثه ای به کار می رود در حالت لبخند لثه ای دندان ها کوچکتر به نظر میرسند که در واقع طول حقیقی دندان ها نامناسب بوده و به واسطه ی نسوج زیاد لثه ای پوشیده شده است که برای رفع این مشکل ، جراح لثه ، عمل افزایش طول تاج را انجام می دهد که در این درمان ، نسوج اضافه ی لثه برداشته می شود و تا حدی استخوان تغییر شکل داده می شود تا مقادیر بیشتری از ساختمان دندان مشاهده شود . این عمل ممکن است برای یک دندان یا برای هم سطح نمودن خط لثه ای یا دندان های زیادی انجام شود تا نهایتا لبخند وسیع و با حالت طبیعی ایجاد شود . عمل افزایش طول تاج ، حد لثه و استخوان اطرا    ف دندان را تغییر می دهد به طوری که دندان ها بیشتر در دسترس قرار گرفته و قابل ترمیم شوند ، عمل افزایش طول تاج برای بهبود زیبایی انجام می شود .

2)کاهش عمق پاکت(شیار عمیق شده لثه) :
عامل اصلی بیماری لثه (پریودنتال) باکتری است که به شکل یک پلاک چسبنده و بی رنگ بطور مداوم بر روی دندان ها تشکیل می شود . استخوان و لثه باید در تماس نزدیک با اطراف دندان باشند شبیه قرار گیری یقه ی لباس در اطراف گردن . با مرور زمان این پاکت ها عمیق تر شده و فضای بزرگتری را برای باکتری ها فراهم می کند . همچنان که باکتری ها در اطراف دندان رشد می کنند تجمع یافته و به ناحیه زیر لثه گسترش می یابند ، که این پاکت ها ی عمیق موجب تجمع باکتری ها ی بیشتری شده و تخریب استخوانی و نسجی بیشتری را به وجود می آورند و نهایتا استخوان بیشتری از دست رفته و باید دندان کشیده شود. جراحان لثه عمق پاکت های موجود را اندازه گیری می کند و از آنجایی که تمییز کردن پاکت های عمیق بواسطه ی مراقبت های بهداشتی در منزل یا اقدامات معمول در مطب امکان پذیر نمی باشد یک عمل کاهش عمق پاکت توصیه می شود .در ضمن این عمل ، جراح ، نسج لثه را کنار زده و باکتریهای ایجاد کننده  بیماری را خارج می نماید . در برخی موارد سطوح نامنظم استخوان آسیب دیده که می توانند به عنوان نواحی برای پنهان شدن باکتری عمل نمایند ، تسطیح می گردند . این اقدام به نسج لثه اجازه می دهد تا به استخوان سالم چسبندگی بهتری پیدا نماید .کاهش عمق پاکت و حذف باکتری های موجود برای پیشگیری از آسیب های ناشی از پیشرفت بیماری پریودنتال و حفظ یک لبخند سالم اهمیت دارد .

3) باز سازی نسوج :
عامل اصلی بیماری لثه باکتری است که به صورت پلاک بی رنگ و چسبنده به طور مستمر و مداوم بر روی دندان تشکیل می شود . همچنین فاکتورهای متعددی می توانند باعث بیماری لثه یا پیشرفت آن شوند . استخوان و لثه می بایست در تماس نزدیک با دندان ها قرار داشته باشند زمانیکه فرد ، بیماری لثه دارد این نسوج حمایت کننده و استخوان تخریب شده و پاکت (شیار عمیق لثه) اطراف دندان پیشرفت می نماید و نهایتا استخوان زیادی از دست رفته و دندان می بایست کشیده شود . متخصص لثه به دلیل از دست رفتن نسج استخوان حمایت کننده یک روش بازسازی نسجی را توصیه می کند این روش ها به واسطه ی باز سازی استخوان و نسوج از دست رفته می توانند روند تخریب را معکوس کنند . در ضمن این اقدامات ، متخصص لثه ، نسوج لثه را کنار زده و باکتری های مسبب بیماری را خارج می کند . حذف باکتری های موجود و باز سازی استخوان و نسوج به کاهش عمق پاکت و بازسازی آسیب های ناشی از پیشرفت بیماری لثه کمک کند.

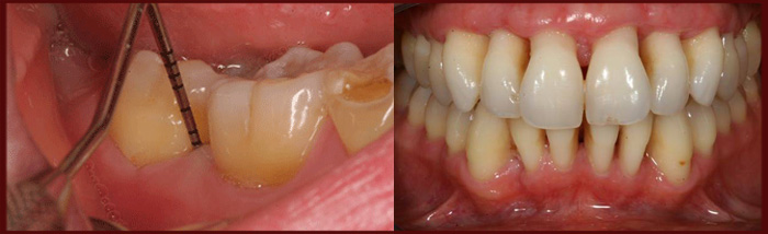
4) پیوند نسج نرم :
روش های پریودونتال خاصی برای توقف مشکلات بیشتر دندان ها و تحلیل لثه وجود دارد ، ریشه های عریان دندان در نتیجه ی تحلیل لثه به وجود می آیند لثه های فرد بیمار به دلایل عدیده ای ممکن است تحلیل پیدا کنند منجمله مسواک زدن شدید و یا بیماری پریو دونتال. ممکن است فرد بیمار متوجه این مسئله نباشد که کدام عامل باعث این حالت شده ولی یک متخصص لثه به فرد بیمار کمک می کند تا فاکتور های دخیل در بروز این مشکل را بشناسد و زمانیکه این فاکتور مداخله گر تحت کنترل قرار گرفت ، یک عمل پیوند نسج نرم نقص موجود را رفع می کند و از بروز تحلیل بیشتر و تخریب استخوان جلوگیری می کند . پیوند های نسج نرم می توانند برای پوشش ریشه ها یا افزایش نسج لثه ای که به واسطه ی تحلیل لثه از بین رفته است به کار روند . در ضمن این عمل متخصص لثه با گرفتن پیوند لثه از کام یا دیگر نواحی ، ریشه های عریان را پوشش می دهد . یک پیوند نسج نرم می تواند تحلیل و تخریب استخوانی بیشتر را کاهش دهد .در برخی موارد ضمن پوشش ریشه های عریان ،می توان آنها را از پوسیدگی در امان نگه داشت وحساسیت دندان را کاهش داد.