درمان پوسیدگی دندان اطفال با لیزر


آیا دیگر وقت آن نرسیده که کودک شما با طیب خاطر به دندانپزشک مراجعه کند؟ ما چنین امری را محقق ساخته ایم.....
امروزه با وجود پیشرفت ها در زمینه پزشکی، لیزر دندانپزشکی از جمله رشته هایی است که اگر چه کمی دیرتر از سایر رشته ها وارد حیطه استفاده از لیزر در درمانهای دندانپزشکی شد ولی انقلابی ایجاد کرد که همچنان ادامه دارد. در روشهای قدیمی دندانپزشکی ،به دلیل وجود درد ،خونریزی و بخیه والدین فرزندان خود را با زحمت بسیار به دندانپزشک می سپردند. ولی با روش جدید احتیاج به تحمل سختی نیست. در گذشته وقتی دندانی دچار پوسیدگی عمیق و آبسه میشد بیمار با مشکلات زیادی مواجه بود. دندانپزشکان معمولا اجازه نمی دادند که دندان طفل به مرحله آبسه برسد آنها ابتدا تمام عصب را درمی آوردند و سپس با داروهای مختلف و متعددی مدخل ریشه را فیکس می‌کردند. اما امروزه با لیزر طفل شما نه دردی تحمل می کند و نه تورمی می بیند. با لیزرهای کم توان، دندانپزشک علاوه بر اینکه دندان را استریل و ضد عفونی میکند بلکه التهاب لثه و دندان را کاهش می دهد که این خود باعث کاهش درد می گردد.
ترمیم پوسیدگی دندان با لیزر


به کمک لیزر مي توان در همان ابتدا با درمان پوسيدگي از گسترش آن جلوگيري و از درمان هاي سخت و آزار دهنده و پرهزينه پيشگيري کرد.
. وقتی با لیزر به خوبی محل پوسیدگی را تشخیص دادیم باز هم به کمک لیزر سعی می کنیم این پوسیدگی ها را به نحو احسن ترمیم کنیم لیزر آب موجود در فضای دندان را به جنبش وا می دارد و به کمک همین جنبش ملکولهای آب قسمتهای پوسیده و ضعیف دندان حذف می شود و قسمتهای سالم و محکم دندان باقی می ماند. این یکی از مزایای معجزه آسای لیزر است که برخلاف دریلها که به بافت سالم،بدون اینکه عمدی در کار باشد، آسیب می رسانند، بافت سالم دست نخورده باقی می ماند.
مزیت حذف پوسیدگی با لیزر نسبت به روشهای معمول

1- با استفاده از دریلها و فرزها هنگام حذف پوسیدگی، بافت پوسیده و سالم هر دو حذف می شود ولی لیزر فقط می تواند پوسیدگی را بردارد.
2- با دریلها و فرزها حفره ای که ایجاد می کنیم کاملا عفونی است ولی لیزر در هنگام تراش، حفره را استریل می کند و از ایجاد پوسیدگی مجدد جلوگیری می کند.
3- در بسیاری از موارد هنگامی که پوسیدگی عمیق است چنانچه حذف پوسیدگی با لیزر انجام شود می توان بدون عصب کشی کردن فقط دندان را پر کرد.
4- بعد از تراش با لیزر، باقیمانده دندان نسبت به پوسیدگی مقاوم تر از دندان معمولی با همان میزان پوسیدگی است که از ایجاد پوسیدگی مجدد جلوگیری می کند.

درمان دردها و ترمیم زخم ها


لیزر درمانی می تواند درد بیمار را در عرض 3 ثانیه کم کند و تورم صورت و ... را در کمتر 12 ساعت برطرف نماید.

وقتی بیماری حادث می شود، بیمار به دنبال درمان می گردد، و مسلما درمانی برای بیمار دلپذیر است که سریع تر و با عوارض کمتر باشد. مثلا چنانچه آبسه ی دندانی پیش آید و صورت تورم داشته باشد، درمانی که سریعتر مشکل را حل کند، پسندیده است. یا مثلا دندان عقل توسط پزشک خارج شود، حالا بیمار بخیه دارد، کمی درد و تورم هم دارد، دنبال درمانی می گردد که هرچه زودتر به حالت اولیه برگردد. بیمارانی که عصب کشی کرده اند (به روش سنتی)، شب اول بعد از درمان درد را تجربه می کند و گاها کمی ورم و قطعا دوست دارند این علائم برطرف شوند. وقتی درمانی با لیزر انجام شود به دلیل خاصیت میکروب کشی قوی لیزر و خاصیت ترمیم بافتی که دارد، اولا عوارض پس از خدمات دندان پزشکی برجا نمی ماند و اگر هم باشد بسیار کم هستند. ثابت شده که لیزر خاصیت ضد التهابی و ضد درد دارد لیزر کم توان می تواند با تحریک سلولها به تحریک بیشتر سرعت ترمیم زخمها را بیشتر کند و درد ناشی از درمان عصب کشی یا جراحی ها را کاهش دهد.
ولی چنانچه بیماری مراجعه کند که درمان خود را درنزد همکاران ما و با روش های سنتی انجام داده ولی الان پس از درمان، درد و ناراحتی دارد باز هم لیزر درمانی می تواند درد بیمار را در عرض 3 ثانیه کم کند و تورم صورت و ... را در کمتر 12 ساعت برطرف نماید. جراحی های که با لیزر انجام می شود اگر بخیه لازم باشد، حداکثر تا 48 ساعت بعد کشیده می شوند.
درمان آفت و تبخال با لیزر


راه حل سریع، مطمئن، موثر و همیشگی درمان آفت و تبخال، درمان با استفاده از لیزر می باشد.

آفت: یک لکه سفید رنگ با حاشیه قرمز می باشد که بسیار هم دردناک است، گاها این فعالیت تکی هستند ولی در بعضی موارد چند لکه با ضایعه کنار یکدیگر مشاهده می شود. خصوصیت مهم آفت درد زیاد آن است، که عمل خوردن و آشامیدن بیمار را مختل می کند، بخصوص که در لب پائین و قسمت های اطراف آن باشد. هنوز علت مشخصی برای آفت پیدا نشده است گرچه درمان های متعددی برای آن ذکر شده ولی هیچ کدام تا کنون قطعی نیستند، تنها درمان موثر برای آفت لیزر است که با تابش لیزر با شدت و زمان مشخص می توان سیکل 13 تا 15 روزه آنرا به 2 تا 3 روز کاهش داد. حتی در موارد حاد آن که بیمار با درد مراجعه می کند می توان همان جلسه درد بیمار را از بین برد.

تبخال: ویروس تبخال در بعضی از افراد در پایانه های عصبی اطراف لب تا انتهای عمر باقی می ماند و همانطور که می بینیم بیمارانی تا آخر عمر از تبخال های گاه و بیگاه خود عذاب می کشند و هرگاه تبخال می زنند تا یک هفته یا 10 روز به دلیل ظاهر بد و گاهی به علت درد و ناراحتی از خانه هم خارج نمی شوند. هنوز دارویی برای تبخال ارائه نشده است. ولی لیزر می تواند ویروس تبخال را درون همان پایانه های عصبی بکشد و فقط یکبار درمان لیزر کافی است که بیمار در آن قسمت دیگر هیچ وقت تبخال نزند.
درمان دندانهای حساس


بعضی اوقات وقتی آب سرد یا میوه سردی را می خورید احساس سرما همواره با درد و اذیت در دندان های خود می کنید؟

همانطور که می دانیم عاج دندان ها توسط مینا پوشانده شده اند، یعنی لایه ی آخری که در تماس با محیط قرار می گیرد مینا است. چنانچه این مینا سالم باشد و همه جای دندان حضور داشته باشد هیچ گونه احساس اذیت و آزاری توسط مواد غذایی نخواهیم داشت، ولی در قسمت ریشه مینا نداریم فقط لایه نازکی از ماده ای به اسم سمان (cement) پوشانده شده است که مثل مینا محافظ خوبی نیست به همین دلیل چنانچه به هر دلیل ریشه ی دندان ما از لثه بیرون باشد، ما احساس سرما و گرما را از همان نقطه خواهیم داشت زیرا عاج دندان های ما حساسیت را متوجه می شود و به عصب منتقل می کند. چنانچه پوسیدگی هم موجود باشد باز هم مینا از بین رفته و تحریکات محیطی توسط عاج دندان احساس می شود، گاهی اوقات هم بدلیل سایش های موجود در دندان ها که ممکن است حتی توسط مسواک هم ایجاد شوند، مینا در نقاطی از دندان از بین رفته و عاج در معرض تحریکات محیطی قرار می گیرد که در این صورت باز هم دندان حساس شده است.

دلایل حساس شدن دندان ها:
 1 – پوسیدگی 2- سایش ها 3- تحلیل لثه در اثر بیماری های لثه در حالت اول که پوسیدگی بایستی توسط دندان پزشک درمان شود ولی در دو حالت بعدی دندان نیاز به ترمیم ندارد و بیماری به راحتی قابل درمان نیست این اواخر محلول هایی ارائه شده اند که با رسوب دادن موادی در عاج دندان حساسیت دندانی را کاهش می دهند حتی خمیر دندان هایی مثل سنسوداین توصیه می شوند که اینها هم می توانند در صورت استفاده طولانی مدت به کمک رسوب مواد شیمیایی درون لوله های عاج دندان این حساسیت را کاهش دهند که موفقیت چندانی نداشته اند.

ولی به کمک لیزر ما درمان صد در صد موفق و حیرت انگیزی را به شما ارائه می کنیم. دردها و حساسیت های دندانی با لیزر به راحتی قابل درمان است و هیچ درمان قطعی دیگری به جز لیزر ندارد. روش درمان حساسیت دندانی با لیزر به این گونه است که طی فقط یک جلسه دندان مورد نظر مورد تابش لیزر قرار می گیرد که درجه و شدت لیزر، نوع لیزر، و زمان تابش همه بایستی دقیق و کنترل شده باشد. در این حالت لیزر باعث انعقاد قسمتی از سلول های حساس عاج می شود که درون لوله های عاجی قرار دارند و درمان 100% موفقیت آمیز است. به ندرت نیاز به تکرار جلسات بعدی می باشد.
درمان ریشه با لیزر


استفاده از لیزر در درمان ریشه نویدگر درمانی مطمئن و استاندارد خواهد بود. لیزر با عمق نفوذ بسیار بالا، تمام باکتری های عفونی درون دندان را از بین ​می برد. می دانیم درون دندان ها قسمتی وجود دارد که اصطلاحا عصب (Pulp) نامیده می شود. ولی این قسمت غیر از عصب دارای عروق خونی، بافت لنفاوی و سلول های عاج ساز و ... می باشد. چناچه پوسیدگی که از بیرون دندان ها شروع می شود، پیشرفت کند و به بافت زنده درون دندان (pulp) برسد، این بافت عفونی می شود و بایستی خارج گردد؛ به این کار اصطلاحا عصب کُشی یا عصب کِشی می گویند که اصطلاح بهتر برای آن درمان ریشه است (Root canal thrapy).

دندان پزشک برای انجام دادن درمان ریشه از بالای دندان وارد شده و تمام بافت های زنده و عفونی داخل کانال عصب را توسط وسایل ظریف و سوزنی شکل (فایل) حذف می کند و پاکسازی می نماید زیرا باقی ماندن بافت عفونی در دندان می تواند در آینده نیز باعث عفونت مجدد دندان گردد. در این میان از محلول های شستشو دهنده و ضد عفونی کننده هم استفاده می کند، تا خطر بروز عفونت را در درون ریشه کاهش دهد. سپس باید محل ریشه را برای پرکردن با موادی که گوتا نامیده می شود آماده سازی کند. گوتا پلاستیک مصنوعی است که سابقا از گیاهی بخصوص تهیه می شد. خوب پر کردن ریشه با گوتا بسیار ضروری است زیرا اکثر عفونت های مجدد دندانی که عصب کشی شده اند، از بالای دندان یعنی از دهان به سمت ریشه و انتهای ریشه می روند. پس از درمان ریشه ، دندان گرچه تغذیه اصلی خود را که از انتهای ریشه است از دست می دهد ولی همواره توسط بافت های نگه دارنده اطراف ریشه ها تغذیه می شود و به همین دلیل است چنانچه دندان عصب کشی شده مجددا عفونی شود، دردناک می شود زیرا عفونت به بافت های نگه دارنده دندان می رود و می تواند درد ایجاد کند. بخصوص در موقع جویدن. پالپ یا عصب دندان در وسط دندان و ریشه ها قرار دارد. نقش اصلی پالپ ایجاد حس گرما و سرما و درد دندان است. در زمان های کودکی مسئول ساخت دندان و فرم دادن به آن می باشد که در دوران بزرگسالی این توانایی را از دست می دهد ولی همواره در طول عمر دندان نقش مرطوب سازی عاج و حساس بودن آن را به تحریکات خارجی بازی می کند. چناچه این پالپ توسط پوسیدگی ها آسیب ببیند و عفونی شود، می میرد و تنها را برای حفظ دندان خارج کردن پالپ است. چناچه درمان ریشه با خارج کردن پالپ و تمیز کردن بافت های عفونی انجام نشود این عفونت به انتهای ریشه درون استخوان می رود و باعث لق شدن دندان گردیده و درد بسیار زیادی را به همراه دارد. متاسفانه مشکلی که در درمان ریشه وجود دارد وجود کانال های اضافی و فرعی است که می تواند دردسر ساز باشد زیرا دندان پزشک فقط می تواند کانال های اصلی را پاک سازی کند. استفاده از مواد ضد عفونی کننده و شستشودهنده فقط تا مقداری کمی در این کانال ها نفوذ می کند، ولی باکتری های می توانند تا درون کانال های فرعی و یا جانبی بروند، وبا درمان ریشه و شستشوهای مکرر پزشک خارج نمی شوند.



لیزر و تحول در زمینه عصب کشی چناچه از لیزر استفاده شود، اولا می توان لایه برجا مانده از تمیز کرن و سائیدن کانال ریشه که معمولا به جا می ماند و مملو از باکتری و ذرات دندان و بافت عفونی است را حذف کرد. ثانیا ریشه دندان را کاملا استریل می کند و ثالثا به دلیل نفوذ لیزر در دندان تا عمق زیادی که فراتر از حضور باکتری ها در ریشه است، دندان را استریل می کند و هیچ باکتری، دیگر نمی تواند باقی بماند و چناچه کانال فرعی هم وجود داشته باشد از آنجا که توسط لیزر استریل می شود، دردسر ساز نخواهد بود رابعا درد بعد از درمان نیز به دلیل خاصیت ضد التهابی لیزر، تا میزان قابل توجهی کاهش می یابد. به این ترتیب استفاده از لیزر در درمان ریشه نویدگر درمانی مطمئن و بسیار استاندارد خواهد بود.
بهبود زخم های سرطانی با لیزر


بیماران مبتلا به بیماری های سخت و صعب العلاج مثل سرطان معمولا دچار عوارض بعد از شیمی درمانی می شوند یکی از این عوارض زخم دهان در این بیماران است در طب امروز به موازات پیشرفت های زیادی در فارماکولوژی و پزشکی، داروهای موثری برای درمانهای صعب العلاج مثل سرطان پیدا شده که توانسته سلامتی جامعه را افزایش دهد.
اما این داروها با بهم ریختن متابولیسم طبیعی و فیولوژیک بیمار و همینطور تغییر فلور طبیعی میکروبی دهان باعث ایجاد زخمهای دهانی وسیعی در بیماران می شود. این زخمهای دهانی که بسیار دردناک هم هستند به یک عامل مهم در نرخ بقاء این بیماران تبدیل گشته است و از آنجا که در دوره شیمی درمانی بیمار نیازمند استفاده از غذای خوب پروتئینی برای داشتن زیر ساختهای لازم (اسید آمینه های ضروری و غیر ضروری) برای بهبود و بازگشت به سلامتی هستند .
متاسفانه با وجود این زخمها حتی از خوردن آب کافی هم امتناع می کنند. هدف از مقال بررسی مختصر لیزر کم توان (LLLT) در درمان این زخمها است. اثر لیزرها دردرمان دردها و ترمیم زخمها اثبات شده است. لیزرها با تحریک میتوکندری ها و سایر اجزاء سلولی به ساخت پروتئینهای ضروری برای فعالیت حداکثری سلول ،می توانند توان ترمیمی و عملکرد ضد التهابی سلولها را افزایش دهند. مطالعات کمی در درمان این زخمهای دهانی با لیزر وجود دارد. دلیل آن هم نوظهور بودن استفاده از لیزر در دندانپزشکی است. آنچه در این مقال ذکر می گردد شرح مختصری از تحقیق اینجانب می باشد که فقط به جهت ازدیاد آگاهی عزیزان هم وطن خدمت شما ارائه می دهم.

لیزر چیست ؟
لیزر از جنس امواج الکترومغناطیسی (نور) می باشد و تفاوت اصلی لیزر با نور معمولی اینست که در نور معمولی انواع طول موجها وجود دارد و مجموعه آنها یک نور را تشکیل می دهد ولی در لیزر فقط یک طول موج وجود دارد.از لیزر به تازگی در درمانهای دندانپزشکی استفاده می شود. انواع برشها و برداشت بافتهای پوسیده دندانی و یا حذف بافت های استخوانی که تا کنون فقط با دریل ها امکان پذیر بود، امروزه با لیزر نیز امکانپذیر است که محاسن بسیار دارد ولی در این مقاله به آن نمی پردازیم چرا که در دیگر بخش های سایت به کرات به آن پرداخته ایم.
از جمله محاسن لیزر که مربوط به سخن ما در این بحث مهم است اثر تسکین دهنده و ضد التهاب و زخم لیزر است. داروهایی که در بیماران شیمی درمانی استفاده می شود به دلیل ایجاد بیان ژنی مولکولهای پیش ساز التهابی و مرگ سلولی در بافت دهان منجر به ایجاد زخم در بافتهای دهانی می شوند. این زخمها از ابتدا منشا عفونی ندارند ولی به چند دلیل توسط باکتری ها و قارچ ها مورد تهاجم قرار می گیرند و عفونی هم می شوند این دلایل عبارتند از:
 1. کاهش بزاق بیمار(ناشی از عوارض شیمی درمانی) 2. دارا بودن سطوح خشن وزبر 3. عدم توانایی بیمار در خوردن موثر غذا که خود یکی از مهم ترین عوامل تمیز کردن دندانها و فضای دهان وزبان می باشد. 4. بهداشت دهانی پایین بیمار (به علت دردناک بودن دهان حین استفاده از مسواک) 5. پایین آمدن سطح ایمنی بدن توسط داروها درمانها درمان های زیادی برای این زخم ها پیشنهاد شده ولی به دلیل اثر بخش نبودن آنها به صورت یک درمان در نیامده اند پمادهای لانولین: اثر این پمادها در خشکی لب و تغییر فرم لب را بررسی کرده اند نتایج اینگونه بود که گر چه کمی خشکی لب را تغییر داده ولی استفاده از این دارو هیچ اثری درکاهش درد و ناراحتی و باز کردن دهان بیمار نداشته است.

سولفات زینک: در تحقیقات انجام شده معلوم شد که مکمل های سولفات زینک که تصور می شد در ترمیم زخم های دهان موثرند هیچ اثری در کاهش زخم دهان بیماران بعد از کموتراپی ندارند. از طرفی پیشنهاد شده که از مکمل های غذایی پیش از شروع و در حین درمان شیمی درمانی استفاده شود. دهان شویه های ضد التهابی: اثر دهان شویه های ضد التهابی نیز توسط محققین بررسی شد، شاید بهترین دهان شویه ضد التهابی در دهان بنزیدآمین باشد. گروه محققین انجمن انکلوژیست ها با بررسی چهل و یک مقاله چاپ شده به این نتیجه رسیده اند که این دهان شویه ها می تواند موثر باشد.

کرایوتراپی: در استفاده از کرایوتراپی در درمان زخم ها و یا پیشگیری از آنها تحقیقی انجام شد و followo up پنج ساله این بیماران اثر مثبتی را در استفاده از کرایو تراپی در زخمها دیده نشد. در تحقیق دیگری اثر کرایو تراپی در زخم دهان بیماران سرطانی در هفته های ابتدایی اوضاع بهتری داشتند ولی بعد از آن تغییری در بهبودی زخم ها دیده نشد. لیزر تراپی: در باره اثر لیزر گرچه تعداد مقالات هنوز زیاد نیست ولی در این آثار موجود به تاثیر خوب لیزر در کاهش درد و دوره زخم ها اشاره کرده اند.

در مقاله پروفسور مارکوس و همکارانش اثر لیزر به طور تمام و کمال بررسی و در موش ها تحقیق شده است. در یک تحقیق دیگر که توسط گروه محققان چند ملیتی در انجمن بین المللی انکولوژی انجام شد،آنها چندین مقاله را بررسی کردند که در این زمینه تحقیق کرده بودند و در نتیجه نوشته اند که اثرات لیزر کم توان قابل توجه است و لازم است انواع لیزرها بررسی و برای هر طول موج پروتکل خاصی ارائه شود. آنچه در پایان ذکر می کنم اینست که بیماران سرطانی نیاز مبرم به پروتئین و منابع غنی غذایی دارند تا به ضعف جسمانی دچار نشوند اما اما آنچه مانع این کار می شود زخم دهان این بیماران است که بسیار هم دردناک می باشد.

ما امروز در کلینیک لیزر دندانپزشکی خود به یاری این بیماران شتافته ایم و با خاصیت ضد درد و التهابی لیزر زخم دهان آنها را با این تکنیک بهبود می بخشیم.
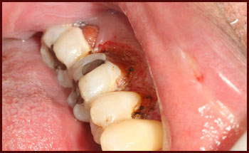
جراحی لثه با لیزر
دندان ها توسط لثه و استخوان زیر آن حمایت می شود، چنانچه این بافت سالم باشد، دندان های محکم داریم ولی با تخریب بافت لثه است که دندان بدون هیچ پوسیدگی از جای خود خارج می گردد. بیماری لثه پس از پوسیدگی دندانها دومین بیماری عفونی بسیار شایع در انسان است. علت ایجاد این بیماری ها هم باز باکتری ها هستند، به همین دلیل چنانچه با تمیز کردن دهان مانع از باقی ماندن ذرات غذائی کنار دندان ها شویم (مثل استفاده از مسواک یا نخ دندان) می توانیم از بروز بیماری لثه جلوگیری کنیم. از آنجا که دندان ها توسط لثه و استخوان زیر آن حمایت می شود، چنانچه این بافت سالم باشد، دندان های محکم داریم ولی با تخریب بافت لثه است که دندان ها لق می شوند و دندان بیمار بدون هیچ پوسیدگی از جای خود خارج می گردد. ذرات غذایی و باکتری ها و کلسیم موجود به بزاق می توانند روی هم دیگر جمع شوند و مجموعه ای را بسازند که اصطلاحا جرم نامیده می شود و به عمل پاکسازی آن از کنار لثه ها جرم گیری اطلاق می گردد(). چنانچه جرم گیری به موقع انجام نشود آسیب های غیر قابل برگشتی را به دندان ها وارد می کند و برخلاف تصور عوام مبنی بر تراشیدن دندان ها یا جرم گیری و غیره اصلا هنگام جرم گیری دندان تراشیده نمی شود و یا نازک نمی شود بلکه فقط جرم چسبیده به دندان جدا می شود و پاک می شود. در درمان لثه چنانچه بیماری پیشرفته باشد، غیر از جرم گیری و حذف جرم بایستی لثه و بافت تخریب شده هم دور ریخته شود و بیمار به مدت طولانی آنتی بیوتیک استفاده کند، که به این کار جراحی لثه می گویند، گرچه در این عمل بیماری لثه درمان می شود ولی گاها به دلیل نیاز به حذف مقداری از لثه دندان ها بلندتر به نظر می رسند و ظاهر خوش آیندی ندارند.



استفاده از لیزر در بیماری های لثه
با لیزر همزمان می توان با حذف بافت عفونی کنار دندان که محل اتصال لثه و دندان را تمیز و استریل نمود، طوری که هیچ آنتی بیوتیکی نمی تواند حتی در مصرف طولانی مدت چنین اثر ضد باکتری را اعمال نماید. .در بسیاری از موارد با لیزردر درمان لثه نیاز به جراحی باز لثه نیست زیرا لیزر ابزاری دارد که بدون باز کردن لثه میتوان درون لثه را استریل کرد و لثه خراب شده را، بدون اینکه از ارتفاع لثه بکاهد، خارج کند اثر ضد باکتری و استریل کردن لیزر تا مقدار زیادی درون لثه و بافت نگه دارنده دندان و خود دندان نفوذ کرده و هیچ باکتری برجا نمی ماند چنانچه این عمل چندین بار برای بیمار انجام شود به موازات آن بهداشت بهتری رعایت شود، بیماری لثه به طور کلی از بین خواهد رفت. به دلیل استریل شدن لثه و فقدان یا کمبود باکتری امکان عود بیماری بسیار کم است.
لیزر در جهت تشخیص پوسیدگی
وش جدیدی که ما در کلینیک خود استفاده می کنیم استفاده از لیزر در تشخیص است . دستگاه های تشخیص لیزر اشعه لیزر که طول موج بخصوصی از نور است را می تاباند و برگشت و بازتاب این اشعه را از بافت های دندان جذب می کند. بافت های سالم طول موج بخصوصی را بازتاب می کنند و بافت های پوسیده طول موج دیگری را باز می تابانند که به این عمل فلورسانس می گویند. پس توسط عمل فلورسانس بافتهای سالم و پوسیده بدون هیچ گونه عوارض و خطری با دقت بالائی حدود 99% می توان دندان پوسیده را تشخیص داد. این دستگاه پوسیدگی را به صورت اعداد نمایش می دهد و از روی عدد پزشک می تواند بگوید پوسیدگی در کجای دندان قرار دارد و حجم آن چقدر است و شدت پوسیدگی چه میزانی است. در این موارد چنانچه پوسیدگی در مینا است و هنوز به عاج نرسیده است، دندان پزشک فقط دستور بهداشتی می دهد و بیمار را تشویق به رعایت بهداشت بهتر می کند و یا شاید وسایل کمک بهداشتی معرفی کند. پوسیدگی می تواند در همین مرحله متوقف گردد، گاها با شیار بندی دندان های می تواند از پیشرفت بسیاری از اینها جلوگیری کرد. ولی چناچه پوسیدگی به عاج دندان رسیده باشد حالا دیگر از دسترس مسواک و بزاق دور شده است و بایستی حتما ترمیم گردد، زیرا قابل برگشت نیستند و پیشرفت می کنند.



مزایای استفاده از لیزر در تشخیص پوسیدگی دندان

1- کاملا بی ضرر است و مثل اشعه X محدودیت ندارد. بخصوص به کودکان بسیار کمک می کند.
2- در زنان باردار در هر مرحله ای قابل استفاده است.
3- تشخیص دقیق تر؛ پوسیدگی ها را با دقت بالا (99%) تشخیص می دهد.

در تصویر زیر دقت لیزر را ببینید که با تابیدن به دندان و بازتاب آن با نورهای رنگی، محل و میزان پوسیدگی را نشان میدهد حتی پوسیدگی هایی که قابل شناسایی با هیچ روش دیگری نیستند.
سفید کردن دندانها با لیزر
موثرترین و کم ضرر ترین روش سفید کردن دندان ها با ماندگاری و سرعت بالا، استفاده از لیزر می باشد.ا دندان های سفید داشتن امروزه راه های گوناگونی دارد، بشر همواره در جستجوی زیبایی تلاش های زیادی کرده و سال ها سعی کرده تا با سائیدن دندان ها (استفاده از مواد ساینده) مثل زغال یا نمک یا صدف دریائی و گاها چوب بعضی از درختان به این سفیدی دست پیدا کند. این گونه مواد ساینده می توانند رنگ های اضافی و یا مقداری از جرم ها و پلاک ها را بردارند و دندان موقتا سفیدتر بنظر آید. در این اواخر از بعضی از اسیدها و ترکیبات شیمیایی مثل پراکسیدها، اسید نیتریک و ... هم برای سفید کردن دندان ها استفاده شده است، که همه تا حدی موفق هم بوده اند ولی ایراد کلی این روش ها آسیبی است که به مینای دندان می زنند و غالبا بعد از مدتی استفاده از آنها، مینای دندان به سرعت رنگ پذیر می شود و آنچنان حساس که به سرعت رنگ مواد غذایی را بخود می گیرد. حتی امروزه خمیر دندان های حاوی مواد ساینده تولید می شود که با آرم سفید کننده دندان ها به فروش می رسند و گروه زیادی از مردم به دلیل ارزان بودن این روش ان را خریدازی می کنند و خود این خمیردندان ها حاوی مواد ساینده در ابتدای استفاده نمای سفیدتری به دندان ها می دهند ولی بزودی مصرف کننده متوجه زردتر شدن دندان های خود می شود و دلیل اصلی آن هم دو چیز است:
1- نازک تر شدن مینای دندان که باعث می شود رنگ عاج زیرین نمایان تر شود. 2- نازک شدن مینا که سبب می شود رنگ های غذائی را بیشتر جذب کند. امروزه با مواد بخصوصی و استفاده از نور به جهت گرم کردن این مواد عمل بلیچینگ (Bleeching) انجام می شود.



بلیچینگ: تغییر رنگ از درون دندان یعنی خارج کردن رنگدانه ها از لایه های زیرین مینا و عاج که این توسط مواد بخصوصی و نور انجام می شود، نقش نور در این جا گرم کردن ماده بر سطح دندان است.
این سفید کردن می تواند در مطب انجام شود و یا حتی در خانه که معمولا برای حصول نتیجه بهتر ابتدا عمل بلیچینگ در مطب انجام می شود که حدود نیم ساعت تا 45 دقیقه طول می کشد و سپس تکمیل درمان یا ماندگاری سفید شدن دندان ها در خانه توسط مواد و وسایل مخصوص سفیدکردن خانگی ادامه می یابد. حسن این روش سفید شدن دندان ها ،کم ضررتر بودن آنها نسبت به روش های قبلی است ولی گزارشات زیادی از حساس شدن دندان ها بعد از این تکنیک و گاها ایجاد ترکهای ریز در دندان ها متعاقب استفاده طولانی مدت از آنها داریم که از معایب آنها محسوب می شود.
ولی در تکنولوژی جدیدتر بجای نور از اشعه لیزر استفاده می شود و از مواد مخصوص سفیدکردن با لیزر، که حسن آنها کاهش زمان درمان در مطب از 45 دقیقه به 3 دقیقه است. یعنی بجای این که دندان های ما 45 دقیقه تحت تاثیر ماده شیمیائی قرار بگیرد، تنها 3 دقیقه زمان کافی است و می تواند حتی باعث کمتر شدن هزینه بلیچینگ به دلیل کاهش زمان درمان در مطب می شود. یعنی اگر فردی در طول عمر خود 10 بار عمل سفید کردن را در مطب انجام دهد، 450 دقیقه اثر مواد بر دندان های خود را باید تحمل کند، در صورتی که چنانچه این کار با لیزر انجام شود، تنها 30 دقیقه خواهد بود که اعداد آن اصلا با هم قابل مقایسه نیستند.
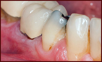
جراحی های دندان با لیزر
جراحی دهان بدون درد، بدون یک قطره خون، بدون نیاز به بخیه، افزایش سرعت ترمیم زخم، همه این موارد از مزایای جراحی دهان با استفاده از لیزر می باشد. انسان به صورت طبیعی از دیدن خون ناراحت می شود، بخصوص چنانچه خون را در دهان خود یا دیگری ببیند. در جراحی های دیگر بدن معمولا بیمار نظاره گر نیست و خون را احساس نمی کند ولی در دندانپزشکی در موارد زیادی که پزشک ناچار به جراحی است بیمار خون را در دهان خود و یا بیمار دیگر می بیند و این برایش نارحت کننده است. نکته دیگری که جراحی های دهان را ناخوشایندتر می کند احتمال خونریزی در منزل پس از درمان و نگرانی از اینکه مبادا قابل کنترل نباشد و زندگی او را تهدید کند، به ترس این کار می افزاید. علاوه بر این ورم و نیاز به تحمل بخیه ها در دهان و درد بعد از جراحی ها مزید بر علت هستند، این ها با ضروری ترین نیازهای بیماران از قبیل غذا خوردن و نفس کشیدن و حرف زدن وی تداخل دارند. همه این ها دلایلی هستند که بیماران از مراجعه به دندان پزشک واهمه دارند، عفونت های پس از جراحی نیز می توانند بیمار را وادار به استفاده از آنتی بیوتیک ها برای جراحی نماید (به دلیل حضور بخیه ها احتمال ایجاد آنها بیشتر است). ما برای شما خبر خوشی داریم، چناچه جراحی ها با لیزر انجام شود؛ جراحی چنان دلپذیر خواهد بود که دیگر هیچ دلیلی برای انجام ندادن و یا تاخیر انجام آن ندارید.



مزایای استفاده از لیزر در جراحی 1- حتی در موقع بریدن یک قطره خون هم از محل زخم خارج نمی شود. 2- نیازی به بخیه کردن محل جراحی ها نیست، پس نیازی به تحمل نخ بخیه در دهان نیست و حتی احتمال ایجاد عفونت به دلیل عدم وجود نخ بخیه کاهش می یابد. 3- محل برش توسط لیزر استریل می شود، یعنی هیچ باکتری نمی تواند در آن محل زنده بماند و خطر عفونت پس از عمل کاهش می یابد. 4- افزایش سرعت ترمیم زخم ها؛ زخم هایی که با لیزر ایجاد می شوند به نسبت زخم های تیغ جراحی 3 تا 4 برابر زودتر خوب می شوند. 5- انعقاد عروق لنفاوی موضع و جلوگیری از ورم و درد ناشی از ورم بعد از جراحی 6- اشعه لیزر عوامل التهابی را در محل ار بین می برد و زخم های برش لیزر التهاب کمتری نسبت به زخم های تیغ جراحی نشان می دهند. 7- بی دردی کامل حین جراحی که بسیار جالب و شگفت انگیز است، زیرا لیزر بر روی پایانه های عصبی هم اثر می کند و آستانه درد را بالاتر می برد.